• "Dientes perfectos, para sonrisas perfectas"

Nuestros servicios

La belleza es una carta de recomendación a corto plazo.

-Ninon de Lenclos-

Es la rama de la Odontología que se encarga del tratamiento de los dientes que se localizan en una posición inadecuada en la boca, lo que comúnmente le llaman los pacientes “Dientes chuecos”, pero gracias a los diversos Tratamientos de Brackets podemos hacer realidad sus sueños de tener una sonrisa radiante, ya que los dientes en malas posiciones, además de dar un mal aspecto, pueden llegar a provocar una mala higiene e incluso la pérdida de algún órgano dentario..

“El sabio generaliza; el artista individualiza”

-Jules Renard-

Es la rama de la Odontología que se encarga de devolver la armonía en la boca de los pacientes, individualizando cada tratamiento para cada paciente, por medio de diferentes materiales estéticos, que actualmente contamos en nuestra Clínica, y así destacar la belleza en forma de sonrisa.

"En mucho más se ha de estimar un diente que un diamante"

-El Ingenioso Hidalgo Don Quijote de la Mancha-

Al perder un diente de la boca, se pierde la estabilidad y la función en su mordida, por lo que es necesario devolverle esa estabilidad y función a su mordida. Por medio de distintos tratamientos, como son: Prótesis Fijas (Coronas de Porcelana) y Prótesis Removible (Puentes) se le devuelve la función a la pérdida de dientes.

Aquí en nuestra Clínica obtendrás una gama diversa de opciones para recuperar uno o varios dientes que se hayan perdido, con diferentes planes de pago.

“El arte de la vida es el arte de evitar el dolor”

-Thomas Jefferson-

Es la rama de la Odontología que se encarga del tratamiento de la pulpa dental, es decir, la pulpa está compuesta por arterias, venas y nervios, por lo que ésta es la que le da la sensibilidad a los dientes. Cuando un  diente se ve atacado por una caries muy grande o por un golpe, la pulpa del diente, se ve alterada y empieza a provocar dolor en los dientes, por lo que es necesario retirar esa pulpa y colocar un material que se selle al 100% ese espacio que dejó la pulpa. Aquí encontrarás Cirujanos Dentistas que se encargan de realizar tratamientos de Endodoncia en las mejores condiciones.

Una sonrisa es la forma más barata de cambiar nuestro aspecto.

– Charles Gordu

Es un tratamiento estético indoloro, en el cual su principal objetivo es eliminar las manchas dentales provocadas por medicamentos, café, tabaco, entre otros alimentos. En ANGLODENT contamos con profesionales altamente capacitados para el manejo de estos agentes blanqueadores

A los amigos, como a los dientes: los vamos perdiendo con los años, no siempre sin dolor

-Santiago Ramón Y Cajal-

Los implantes dentales son una forma popular y muy efectiva de reemplazar los dientes perdidos,están diseñados para tener una gran estética y disimularse entre los otros dientes. Son una excelente opción a largo plazo para restaurar su sonrisa. En ANGLODENT encontraras a los mejores implantologos que haran de tu sonrisa algo excepcional.

Siembra en los niños ideas buenas aunque no las entiendan... Los años se encargarán de descifrarlas en su entendimiento y de hacerlas florecer en su corazón

-Maria Montessori-

Es la rama de la odontología encargada del trato especial a niños y recien nacidos. El odontopediatra conoce a detalle los dientes temporales, las etapas de crecimiento, las medidas preventivas y el tratamiento más apropiado para cada niño. En ANGLODENT contamos con los mejores odontopediatras que darán a tu pequeño la mejor atención

Un hombre sabio debería darse cuenta que la salud es su posesión más valiosa

-Hipócrates-

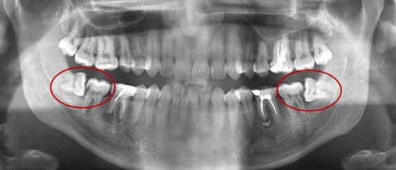
Es una especialidad encargada de la rehabilitación de las alteraciones en la parte de la cabeza y el cuello, incluyendo la boca y los dientes, a través de un diagnóstico y un procedimiento quirúrgico para corregir estas anomalías, como tumores, problemas estéticos, muelas del juicio, entre otros.

Opino que lo que se llama belleza, reside únicamente en la sonrisa

- León Tolstói-

Se encarga del mantenimiento de los tejidos que están alrededor del diente, mediante el cuidado y tratamiento de la encía, a través de una adecuada técnica de cepillado, la eliminación del sarro y la placa que se acumula en los dientes para evitar la inflamación y sangrado de las encías, el daño al hueso y a otros tejidos de soporte.

prueba prueba prueba

Opino que lo que se llama belleza, reside únicamente en la sonrisa

- León Tolstói-

Se encarga del mantenimiento de los tejidos que están alrededor del diente, mediante el cuidado y tratamiento de la encía, a través de una adecuada técnica de cepillado, la eliminación del sarro y la placa que se acumula en los dientes para evitar la inflamación y sangrado de las encías, el daño al hueso y a otros tejidos de soporte.